SEÇÕES

Homem come carne de porco crua e fica com 700 tênias no cérebro

Larvas também foram detectadas na região peitoral do paciente, que está sendo tratado em um hospital na China

|
Siga-nos no

Se você é fã de carne de porco, o caso do chinês Zhu Zhongfa talvez torne você ainda mais exigente quando o assunto é o bom preparo desse alimento. Isso porque mais de 700 ovos de tênia foram encontrados no cérebro do homem, após ele ingerir um caldo com carne mal cozida. As informações são da Revista Galileu.

Segundo os médicos de Zhu, o paciente de 46 anos foi parar no Hospital da Universidade de Zhejiang, no leste da China, apresentando graves convulsões, que se assemelhavam a um quadro de epilepsia. Ele já havia sido hospitalizado antes, com tontura e forte dor de cabeça, mas recusara qualquer tipo de tratamento por não querer gastar dinheiro.

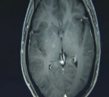
(Foto: Reprodução Hospital da Universidade de Zhejiang)Com a persistência dos sintomas, o chinês foi hospitalizado novamente e os médicos puderam realizar exames de ressonância magnética. Analisando as imagens do cérebro de Zhu, os profissionais perceberam centenas de calcificações e lesões no órgão.

Mas foi apenas após uma conversa com o paciente que os profissionais tiveram uma suspeita do que estava acontecendo: no bate-papo, ele assumiu que um mês antes consumira lâmen com carne de porco e carneiro de procedências duvidosas. Tendo isso em vista, o médico Huang Jianrong recomendou exames de anticorpos — e não foi surpresa quando um teste de Taenia solium deu positivo.

A Taenia solium é uma espécie de verme que se desenvolve em porcos e, quando consumida, usa o corpo humano como hospedeiro. Além do crescimento dos próprios vermes, a doença pode aparecer como cisticercose, uma infecção larval resultante da ingestão dos ovos desse animal, os cisticercos.

(Foto: Reprodução Hospital da Universidade de Zhejiang)

Quando os médicos do Hospital da Universidade de Zhejiang contaram o diagnóstico a Zhu, ele concordou que essa era uma possibilidade e lembrou de quando comeu o prato. "Eu apenas mexi um pouco a carne. O fundo do pote com o caldo picante estava vermelho, então não podia ver se a carne fora cozida completamente", afirmou o paciente, segundo um comunicado.

Esta não é a primeira vez que uma infestação grave como a de Zhu acontece. No começo do ano, o New England Journal of Medicine publicou o caso de um jovem indiano de 18 anos que também estava infestado por ovos de Taenia. Pouco depois, uma equipe médica retirou um "tumor" de uma norte-americana de 42 anos — e descobriu que a massa era, na realidade, um grande ovo do animal.

Segundo a Organização Mundial da Saúde (OMS), a teníase ainda pode ser causada por outras duas espécies de tênia: Taenia saginata e Taenia asiatica, presentes na carne bovina e suína, respectivamente. Para a prevenção da doença, é necessário cuidar da higiene pessoal. Mas saneamento básico também é essencial para evitar a disseminação da doença.

(Foto: Reprodução Hospital da Universidade de Zhejiang)

Além disso, é fundamental consumir carnes devidamente higienizadas, preparadas e cozidas, como explicam os especialistas. A Food Safety Australia recomenda cozinhar a carne suína a uma temperatura de aproximadamente 77 ºC por no mínimo 3 minutos — se necessário, é recomendada a utilização de um termômetro de alimentos.

Vale lembrar que a infecção também pode ocorrer em outras partes do corpo. Isso porque, após ingeridos, os ovos do verme eclodem por conta do fluido digestivo intestinal e permitem que a larva perfure as paredes do intestino, entrando na corrente sanguínea e chegando a diferentes partes do corpo.

Como o cérebro humano é muito vascularizado, os animais costumam se instalar por lá. Ainda assim, outras regiões também estão em risco: o próprio Zhu apresentou infestação nos pulmões.

"Os diversos pacientes respondem diferentemente à infecção, dependendo de onde os parasitas estão", ressaltou Huang Jianrong, um dos médicos de Zhu, segundo o New Zeland Herald. Ele ressalta que os sintomas podem variar e, por isso, é essencial consultar um profissional de saúde ao menor sinal da doença.

Felizmente, o caso de Zhu foi detectado e ele está sendo tratado. “Matamos as larvas usando medicamentos antiparasitários e prescrevemos remédios para proteger seus órgãos e reduzir os efeitos colaterais provocados pelo tratamento", pontuou Jianrong, ao AsiaWire. "A primeira fase do tratamento foi concluída após uma semana. Agora faremos mais testes."

Tópicos

VER COMENTÁRIOS

Carregue mais
Veja Também