SEÇÕES

Pesquisadores da UFPI desenvolvem novo método de diagnóstico da Covid

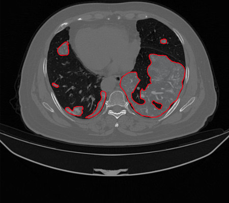
O sistema irá auxiliar os especialistas na triagem/diagnóstico da COVID-19 por meio de imagens de tomografia computadorizada.

Pesquisadores da UFPI desenvolvem novo método de diagnóstico da Covid | Foto: Divulgação
Siga-nos no

Os pesquisadores da área da Ciência da Computação estudam metodologias de diagnóstico da Covid-19 por meio de sistemas inteligentes. O estudo faz parte do Projeto de Pesquisa, Desenvolvimento e Inovação (PDI) da Universidade Federal do Piauí (UFPI), que inclui o Hospital de Campanha Estadual (HCE).  

O uso da tomografia computadorizada (TC) tem se mostrado uma abordagem promissora para a avaliação de pacientes suspeitos com COVID-19, visto que há uma grande procura para os testes tradicionais. No entanto, é necessário que a tomografia computadorizada seja analisada por um especialista. Pensando nisso, os pesquisadores estão desenvolvendo métodos computacionais que pretendem integrar um software que irá auxiliar os médicos no diagnóstico da Covid-19, como na triagem de pacientes e também promovendo uma segunda opinião.

“A ideia é usar sistema CAD de diagnóstico auxiliado por computador, para minimizar os problemas gerados pela complexidade de análise das tomografias computadorizadas. Dentre os objetivos esperados nesse estudo destacamos: revisão do estado da arte, considerando o desenvolvimento de sistemas CAD para auxiliar diagnóstico médico; desenvolvimento de métodos para caracterizar e classificar imagens de TC usando redes neurais convolucionais; e a aplicação do método desenvolvido para realização da classificação das imagens”, explica o Prof. Dr. Ricardo Rabêlo, coordenador do estudo e lotado no Departamento de Computação da UFPI, em Teresina.

Pesquisadores desenvolvem método de diagnóstico da Covid-19 (Divulgação)

Os pesquisadores analisaram um conjunto de 708 imagens de tomografia computadorizada, sendo 312 de pessoas com Covid-19 e 396 de pessoas que não possuem a doença. “O método que a gente vem desenvolvendo, consiste na utilização de arquiteturas de inteligência computacional, especificamente as abordagens deep learning (aprendizado profundo). Essas abordagens são técnicas computacionais que analisam as imagens extraindo valores destas. Estes valores, vão fornecer aprendizados ao método desenvolvido, que vai permitir apontar se as imagens da TC têm ou não suspeição de Covid-19", diz o Prof. Dr. Antônio Oseas, do curso de Sistemas de Informação da UFPI, em Picos. 

Segundo o Prof. Dr. Joel Rodrigues, coordenador do Projeto de PDI, o estudo é de relevância mundial. “O estudo é de extrema importância para o Projeto de Pesquisa, Desenvolvimento e Inovação, porque foca na aplicação de ferramentas de inteligência computacional ao diagnóstico médico. No caso concreto, já estão sendo trabalhados novos modelos propostos para o diagnóstico da Covid-19. Esse é um dos estudos mais avançados na área a nível mundial e, naturalmente, é uma contribuição da Ciência da Computação para o diagnóstico e tratamento da Covid-19", afirma.

Além dos professores Ricardo Rabêlo e Antônio Oséas, o estudo conta com a contribuição dos professores Dr. Flávio Henrique Araújo e Dr. Romuere Veloso da UFPI, lotados no Campus Senador Helvídio Nunes de Barros (CSHNB) em Picos; e dos professores Dr. Marcus Vinícius e Dr. Fabbio Anderson da Silva Borges da Universidade Estadual do Piauí (UESPI).

Tal como os professores Joel Rodrigues, Ricardo Rabêlo e Antônio Oséas, Flávio Henrique Araújo e Romuere Veloso, também são professores do Programa de Pós-Graduação em Engenharia Elétrica da UFPI.

Tópicos

VER COMENTÁRIOS

Carregue mais
Veja Também