SEÇÕES

Cientistas relatam 35 pessoas infectadas pelo novo vírus Langya na China

Pessoas infectadas pelo Langya mantinham contato frequente com animais, e têm sintomas semelhantes aos de uma gripe.

Cientistas relatam 35 pessoas infectadas pelo novo vírus Langya na China | Foto: Divulgação
Siga-nos no

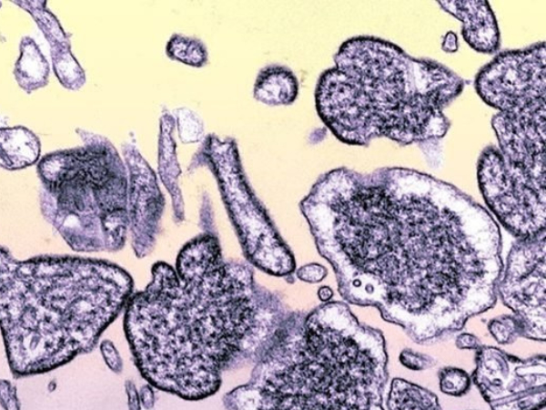
Cientistas reportaram na revista The New England Journal of Medicine 35 pessoas infectadas na China pelo vírus Langya, parente dos vírus Hendra e Nipah. A descoberta se deu por meio de vigilância-sentinela de pacientes febris e exposição animal no leste da China. 

Esta é a primeira vez que o vírus é identificado em humanos. O patógeno é da família Henipavirus, que inclui outras duas espécies já identificadas, os vírus Hendra e Nipah. As duas doenças causam quadros graves e ainda não têm tratamento, os vírus desta família têm taxa de letalidade entre 40% e 75%.

Cientistas relatam 35 pessoas infectadas pelo novo vírus Langya na China (Reprodução)Sintomas

Todos os 26 pacientes que tinham apenas um vírus apresentaram febre. Outros sintomas observados foram: cansaço (54%), tosse (50%), perda de apetite (50%), dor muscular (46%), náusea (38%), dor de cabeça (35%) e vômitos (35%), acompanhados por anormalidades de baixo nível de plaquetas (35%), baixo número de glóbulos brancos (54%) e redução da função hepática (35%) e renal (8%).

O Nipah foi descoberto em 1999 na Malásia e em Singapura, e foi responsável por 100 mortes em 300 casos. A Organização Mundial da Saúde (OMS) o incluiu na lista de vírus com potencial pandêmico.  

Cientistas relatam 35 pessoas infectadas pelo novo vírus Langya na China (Reprodução)Transmissão do vírus

Como há um grupo de pacientes infectados, os cientistas acreditam que já exista uma transmissão entre humanos. Apesar disso, eles afirmam que não há indícios de contato próximo ou exposição aos mesmos animais entre os indivíduos infectados — o dado sugere que o contágio pode ser esporádico, ou seja, só acontecer em algumas pessoas.

Tópicos

VER COMENTÁRIOS

Carregue mais
Veja Também